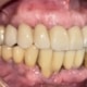
Cas real: ortodòncia invisible amb Invisalign
Avui us compartim el cas d’un pacient que va optar per un tractament d’ortodòncia amb Invisalign, una solució invisible, còmoda i efectiva per alinear les dents de manera discreta i personalitzada.
Per què escollir Invisalign?
L’ortodòncia invisible és ideal per a aquelles persones que volen millorar l’alineació dental sense portar brackets metàl·lics. Aquests són alguns dels avantatges principals que destaquem des de la nostra clínica:
Estètica discreta
Els alineadors són totalment transparents, pràcticament imperceptibles, cosa que permet continuar amb la teva rutina diària amb naturalitat i confiança.
Higiene més fàcil
Els alineadors són amovibles, de manera que els pots retirar per menjar i raspallar-te les dents amb total comoditat. Això facilita una higiene bucal òptima durant tot el tractament.
Més comoditat i menys visites
Amb Invisalign, les visites a la clínica són espaiades i previsibles, cosa que et permet organitzar millor el teu temps.
Resultats predictibles
Abans de començar el tractament, fem un escaneig digital 3D de la teva boca que ens permet mostrar-te una simulació del resultat final. D’aquesta manera, saps com serà el teu somriure abans de començar.



